

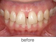
| 歯並びが悪いのを、ラミネートベニアとセラミッククラウンできれいな歯並びに しました。 費用/126,000円×2 ※仮歯・型取りの費用が別途必要です |

| 歯の表面に白い斑点があるのを、ラミネートベニアできれいにしました。 費用/126,000円×2 ※仮歯・型取りの費用が別途必要です |

| 黄ばんでいた歯をホワイトニングでキレイにしました。 費用/42,000円 (ナチュラルホワイトニング) |

| 黄ばんでいた歯をホワイトニングでキレイにしました。 費用/84,000円 (ブランカホワイトニング) |

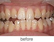
| 歯並びが悪いのを、ハーフリンガル矯正をし、セラミッククラウンできれいな歯並びにしました。 費用/136,500円×5 + 1,391,250円 |











